
Um menino de apenas 7 anos se queixava de dores no maxilar. Ao ser examinado, dentistas encontraram 526 dentes em sua boca. O caso ocorreu em Chennai, na Índia, e ele precisou ser internado para a remoção dos dentes que lhe causavam mais dor. As informações são da emissora CNN.
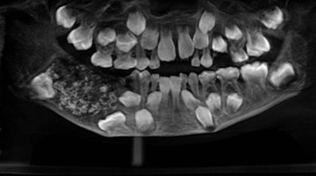
Segundo a doutora Prathiba Ramani, em entrevista à CNN, o raio-x do menino mostrou que a parte inferior do maxilar apresentar uma alta quantidade de “dentes anormais”. A cirurgia, no mês passado, retirou esses dentes que foram examinados pelos médicos.
Foram cinco horas para remover todos os dentes. “Era um total de 526 dentes, de 1 milímetro até 1,5 centímetro. Até as menores parte possuíam coroa e raízes”, afirmou Ramani.
O menino sofria de uma raríssima condição chamada Odontoma complexo de grande proporção. As causas são incertas, mas a condição pode ser genética ou devido a exposição radiotiva, por exemplo.





