
Rio - Um caso reportado na revista médica BMJ (British Medical Journal) mostrou que os efeitos do abuso de cocaína podem ser muito mais profundos e danosos do que imaginamos.
O caso aconteceu em Malta, quando um homem apareceu apresentando um comportamento incomum. Segundo Ylenia Abdilla, médica do hospital Mater Dei, na cidade de Msida, disse que o paciente não estava cooperando e não era capaz de seguir comandos ou realizar tarefas simples.
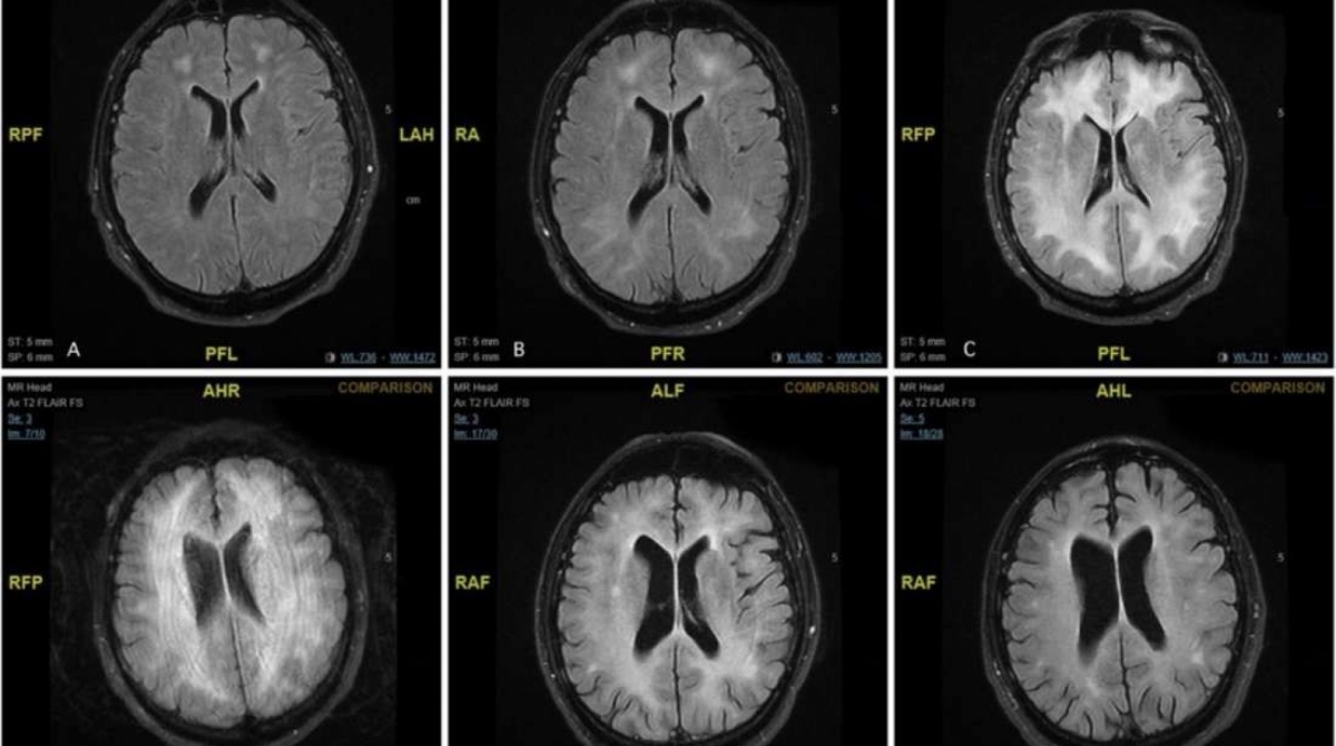
Então ele piorou e se tornou incomunicativo e catatônico. Ele foi submetido a diversos exames, e todos pareciam normais. Menos um: a ressonância magnética, que revelou uma perda de “substância branca”, parte do cérebro que dá suporte e nutrição aos neurônios.
A condição foi diagnosticada como leucoencefalopatia, caracterizada por danos à substância branca, que pode ser causada, que pode ser causada por um infecção viral e bacteriana. Porém, o paciente não tinha nenhum outro sinal de infecção.
Mas o exame de urina apontou uma alta concentração de cocaína em seu organismo. O paciente admitiu que era um usuário regular da droga.
Casos de uso de cocaína relacionado a leucoencefalopatia são muito raros, mas já foram documentados na literatura médica. Os cientistas não sabem ao certo como a droga causa esse efeito de “comer” substância branca do cérebro, mas outros estudos sugerem que o uso pesado desse tipo de droga pode romper a camada isolante que protege os nervos, assim como inchar os axônios, parte dos neurônios.
Com frequência esses casos de leucoencefalopatia relacionados a cocaína são fatais. Mas o paciente do caso reportado pelo BMJ se recuperou em um ano, e teve resultados normais em testes neurológicos. Mas outras ressonâncias mostraram que ainda havia mudanças na substância branca. Os médicos ministraram remédios para conter a inflamação e melhorar o funcionamento do sistema imune. E o paciente foi para uma clínica de reabilitação para se livrar do vício.