Rafaela Ribeiro, 25 anos, suspeita que foi atingida por um tiro de chumbinhoFoto: Arquivo pessoal
Mulher é atingida por projétil durante ensaio de bloco de Carnaval
Rafaela Ribeiro, 25 anos, estava em uma oficina de saxofone quando foi atingida; médicos suspeitam que tenha sido uma bala de chumbinho
Rio - Uma mulher foi atingida por um projétil, na tarde deste sábado (19), que seria uma bala de chumbinho, durante oficina de saxofone do bloco de Carnaval "Me enterra na quarta", na Praça Paris, na Glória, Zona Sul do Rio. Ao DIA, a profissional de Recursos Humanos Rafaela Ribeiro, 25 anos, disse que ficou assustada quando viu o sangue escorrer do tórax, onde foi ferida.
fotogaleria
"Como eu estava na primeira fileira, mais exposta, só senti o impacto perto do meu ombro. Um médico, que era integrante do bloco, me deu um suporte, deu uma olhada, colocou gelo no local e eu continuei no ensaio. Com o tempo, começou a vazar sangue do band-aid que tinha colocado e fui ao médico", lembrou Rafaela.
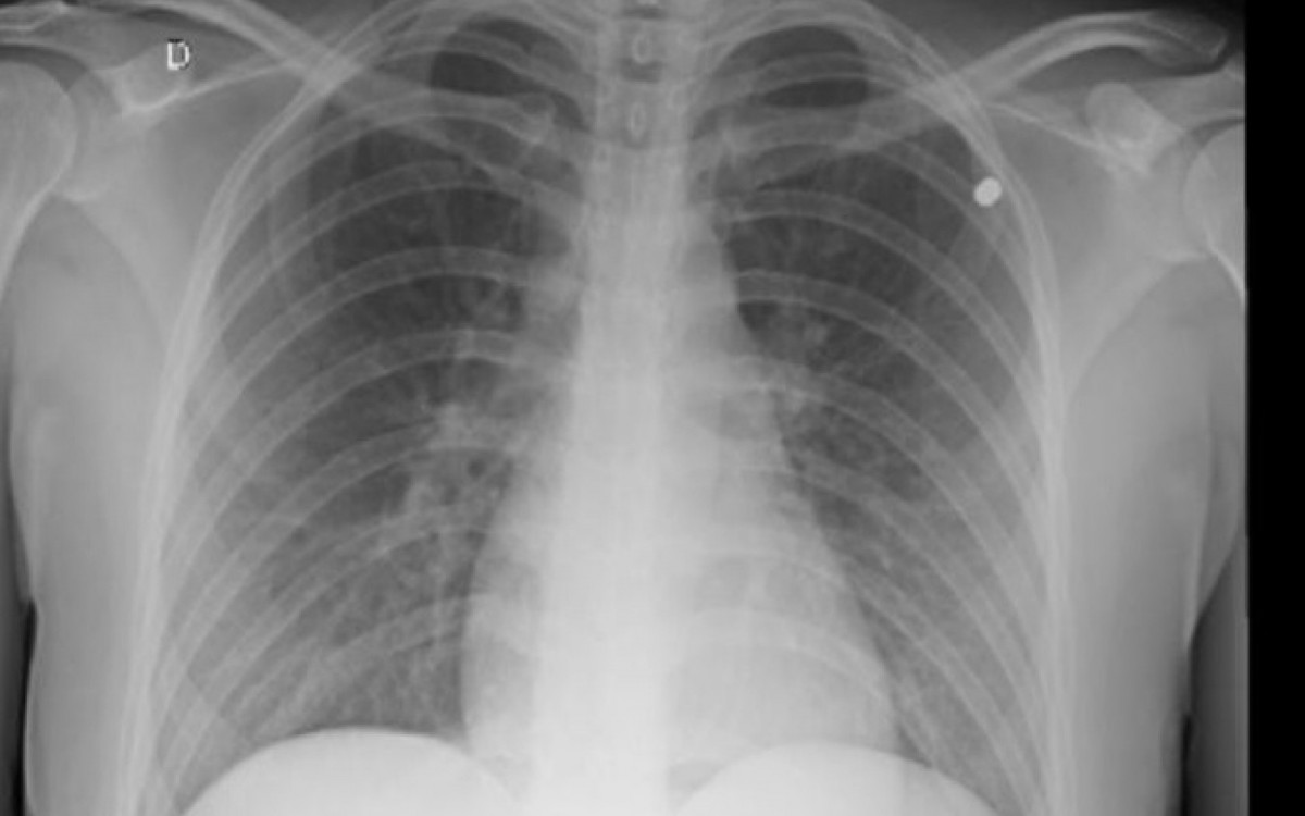
No Hospital Glória D'Or, os atendentes informaram que era possível sentir, ao toque, que havia um objeto dentro do corpo dela. Com uma radiografia, os médicos conseguiram enxergar o pequeno projétil localizado no tórax. "Na delegacia, fui encaminhada para o Instituto Médico Legal (IML), onde um perito pediu para que eu retornasse depois que conseguisse retirar o objeto. Amanhã [terça-feira], tenho uma consulta para agendar a retirada e ver se realmente foi uma arma de chumbinho. A gente desconfia que tenha sido porque já aconteceu uma situação parecida na Praça Paris", contou a profissional de RH, que completou:
"Lá tem ensaios de quase todos os blocos. Sempre tem gente na praça, pessoas dando aula de diversas coisas, os blocos que dão oficina e os professores que dão aula individual".
Apesar do susto, por conta da lesão, Rafaela está com algumas limitações nos movimentos. "Ainda está dolorido. Não consigo abraçar ninguém porque dói, fazer movimento para levantar ou pentear o cabelo. Foi do nada, um susto, a dor era bem forte. Queimava, não sei nem explicar a sensação de levar um tiro dessa forma. Mas que bom que não foi no meu olho, ou não atingiu alguma criança", apontou.
De acordo com a Polícia Militar, não há registro de acionamento do comando do 2º BPM (Botafogo) para a situação relatada. A Guarda Municipal (GM-Rio), que tem um posto no local, não foi acionada para a ocorrência.
O caso foi registrado na 9ª DP (Catete) e os agentes buscam imagens de câmeras e fazem diligências para tentar encontrar o autor do disparo.








Os comentários não representam a opinião do jornal e são de responsabilidade do autor.